Ayşe Naime (Kor) Altuntaş
TEDAVİLER
 
 
 
Periodontoloji

 

 

 

DİŞETİ HASTALIĞI NEDİR ?

 

Video: www.youtube.com/watch

 

Periodontoloji, dişler ve dişlerin etrafında bulunan dokuların sağlık ve hastalıktaki durumlarını inceleyen, bu dokularda meydana gelen hastalıkların teşhisi, tedavisi ve tedavi sonrasında elde edilen sağlığın korunmasını amaçlayan bir dişhekimliği dalıdır.

 

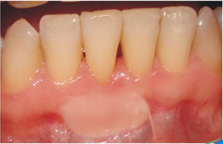
Sağlıklı Dişeti Görüntüsü Nasıldır?

 

Sağlıklı dişeti, genellikle açık pembe renkli, mat, yüzeyi portakal kabuğu görünümünde, sert kıvamlı (kanaması olmayan) ve diş yüzeyinde kalınlaşmadan bıçak sırtı gibi sonlanan özelliklere sahiptir.

 

Dişeti Hastalıklarının Sebepleri Nelerdir?

 

 

 

 

Dişeti hastalıklarının birinci nedeni, düzenli ve etkili fırçalama yapılmaması sonucunda dişlerin bütün yüzeylerinde, diş-dişeti birleşiminde ve diş aralarında biriken, içinde pek çok mikroorganizma barındıran ve "mikrobiyal dental plak –bakteri plağı -" adı verilen birikintilerdir.

 Eğer zaman içerisinde bu plak temizlenmezse kireçleşip sertleşir ve "diştaşı" oluşur. Diştaşının pürüzlü yapısı, plağın daha hızlı birikmesine neden olur. Böylece iltihap daha hızlı ilerler.

Asıl  etken mikrobiyal dental plağın varlığı ve onun ürettiği zararlı asidik maddeler ve diş taşlarıdır, ancak:

*Ağız- diş temizleme alışkanlığının yetersiz olması,

*Bünyenin ( tükürüğün) dental plaktaki mikroorganizmalara karşı savunma mekanizmasının yetersiz çalışması ve

*Genetik yatkınlık hastalığın gelişimi için risk faktörüdür.

*Sigara kullanımı:Sigaranın periodontal hastalıklardaki kemik kaybının artışında bir risk faktörü olduğu ve periodontal tedavilere karşı doku cevabını azalttığı bilinmektedir. Günde 10 adetten fazla sigara içen hastalarda tedavilerde başarı oranının düştüğü bildirilmiştir. Bu durum, sigaranın damarlanma üzerindeki etkisine, savunma hücrelerinin fonksiyonunu bozmasına, kollagen sentezini etkilemesine ve iltihabi cevabı değiştirmesine bağlanmaktadır.

*Stres:Her hastalıkta olduğu gibi kişinin  hastalığa meyilini artırıp , gelişip ilerlemesini hızlandırır.

*Hormonal değişimler: Regl dönemleri ve hamilelikte hormon seviyelerindeki artışlar plak birikiminin ve buna bağlı diş eti iltihabının hızla gelişmesine yol açar.

 

 

 

  

 

*Diabet: Periodontal hastalığa neden olan mikroorganizmalar ve salgıladıkları zararlı maddeler diabette önemli rol oynarlar. Kontrol altında olmayan diabet hastalarında aynı ağız hijyen seviyesine sahip kontrollü diabet hastalarına göre daha fazla periodontal hastalık geliştiği bilimsel çalışmalarla saptanmıştır. Periodontal tedavi ile kan şekerinin kontrolü, böylece diabetin de kontrolü kolaylaşır.

 

*HATALI VE UYUMSUZ diş restorasyonları lokal dişeti hastalıklarına sebep olur.

*Çapraşık dişler, kapanışta uyumsuzluklar, diş gıcırdatmaları,

* Çeşitli sistemik hastalıkların tedavisi amacıyla kullanılan ilaçlar, dişetlerinde büyümeye sebep olurlar.

 

Epilepsi tedavisinde kullanılan antikonvulsan bir ilaç olan Phenytoin, dişlerin ön yüzeylerinde, özellikle ön bölgelerde ve restorasyonların çevresinde, dişler arasındaki dişetini ve dişeti kenarını içine alan, sıkı, soluk pembe, kanamayan bir görüntüde dişeti büyümesine yol açabilir.

 

Organ-doku nakli sonrasında kullanılan immunosupresif bir ilaç olan Cyclosporin A, Phenytoin'e benzer şekilde dişlerin ön yüzeylerinde, özellikle ön bölgelerde ve restorasyonların çevresinde daha sık görülen dişeti büyümelerine yol açabilir. Büyüme dişler arasındaki bölgelerden granüllerin oluşumu ile başlar, yüzeyi pürtüklüdür ve kanamaya eğilimlidir.

 

Kalp ve hipertansiyon hastalarında kullanılan kalsiyum kanal blokerlerinden Nifedipine, Amilodipine, Nicardipine, Diltizem ve Verapamil, Phenytoin ve Cyclosporin A'ya göre daha löbüler tarzda ve soluk pembe renkli bir büyüme ile karşımıza çıkabilir.

 

* Periodontal hastalıkta etkili olan mikroorganizmaların solunması veya bu mikroorganizmaların solunum yollarında toplanması akciğer hastalıklarının gelişmesine yol açar.

* Periodontal hastalıkta etkili olan mikroorga-nizmalar ve salgıladıkları zararlı maddeler, fetus-plasenta ünitesi için tehdit oluşturur. Annenin yaşının küçük olması (18 yaş altı), ilaç, alkol ve sigara kullanımı, stres, genetik, genitoüriner sistem enfeksiyonları ve periodontal hastalık, erken doğum/düşük doğum ağırlığı gelişimindeki risk faktörleridir.

 

Dişeti Hastalıkları Nelerdir, Belirtileri Nasıl Anlaşılır?

 

 

 

 

 

Dişeti hastalıkları, basit bir dişeti iltihabı (gingivitis) şeklinde başlar, diş köklerini çevreleyen  kemiğin eridiği, dişlerin sallanarak kaybedildiği şiddetli enfeksiyonlar (periodontitis) ve apseler şeklinde gelişirler. Belirtileri:

*Gingivitiste dişetleri kırmızı, şiş ve hassastır, fırçalarken veya kendiliğinden kanar.

*Kanama ve iltihap ağızda kötü bir koku oluşturur.

*Başlangıçta ağrı olmadığı için sinsice gelişir.

*Dişeti çekilmesi sonucu kök yüzeyi açığa çıktığı için soğuk, sıcak hassasiyeti, ısırmada dişlerde güçsüzlük hissi belirir.

*Diş boyları uzar, aralarında açılma, yer değiştirme gözlenir.

*Müteakiben dişlerde sallanma artar ve kaybedilirler. 

 

Dişeti Hastalığından Nasıl Korunulur ?

 

İyi bir bakım ve düzenli kontrollerle sağlıklı dişetlerine sahip olunabilir. Böylece dişeti hastalığı başlangıç aşamasında önlenebilir. Şayet hastalığın oluşmasına tek neden bakteri plağı ise birey  yaşamı boyunca bu bakteri plağını dişlerin üzerinden uzaklaştırarak yani diş fırçalama ve dişler arası bölgede arayüz bakımı (diş ipi ve arayüz fırçası kullanma) yaparak hastalıktan korunabilir.

Ayrıca, zaman zaman da kimyasal ajanların kullanılması fayda sağlar. Yine öğünler arası yemekten kaçınmak, temel besin gruplarından dengeli olacak şekilde seçim yapmak, özellikle A-B-C  ve E  vitaminlerini almak yararlı olacaktır.

 

Dişeti Hastalıklarının Tedavisi Nasıl Yapılır?

 

Periodontal tedavi, dişleri çevreleyen yumuşak ve sert dokulara ait hastalıkların iyileştirilmesini, bu hastalıkların meydana getirdiği yıkımların düzeltilmesini amaçlar. 

 

Gingivitis Tedavisi: (Dişeti hastalığının başlangıç safhasıdır, henüz doku yıkımı yoktur,belirtisi dişeti kanamalarıdır)

 

Esas etkeni olan dental plağın hasta tarafından fırça/diş-ipi/arayüz fırçası kullanılarak temizlenmesi ve diş üzerindeki birikintilerin -diştaşlarının- dişhekimi tarafından özel aletler (el aletleri veya ultrasonik cihazlar) kullanılarak uzaklaştırılması ile tedavi tamamlanır. Başlangıç tedavisi olarak isimlendirilen bu aşama periodontal işlemlerin temelidir. Basit dişeti iltihaplarında tek başına bir tedavi yöntemi olabildiği gibi, ileri durumlarda periodontal operasyona (dişeti ameliyatına) hazırlık amacıyla kullanılır.

 

 

 

 

 

 

Periodontitis (İleri safhalardaki dişeti hastalıklarıdır) tedavisi:

 

Derin ceplerin olduğu ilerlemiş vakalarda, flap operasyonları ile müdahale edilerek gerekirse kemik rejenerasyonu için kemik greftleri ve/veya membran uygulamaları yapılır.      

Ayrıca operasyonlara ek olarak antibiyotik, fluorid veya antimikrobiyal antiplak gargaraların ve çeşitli ürünlerin kullanılması da gerekebilir. Dişeti çekilmelerinin olduğu bazı vakalarda  dişeti ve bağ dokusu greftleri  ve  yine bazı özel operasyonlar  uygulayarak dişeti çekilmeleri tedavi edilmeye çalışılır.

Yapışık dişetinin olmaması gibi durumlarda serbest dişeti grefti uygulamaları yapılır.

Bunun dışında periodontal hastalığın tedavisi için ek bir takım işlemlere gerek olabilir. Bunlar; bruksizm (diş gıcırdatma) için yapılan gece koruyucuları, stabilite amaçlı splint (şine) yapılması, diş dizisinin düzeltilmesi için ortodontik uygulamalar, diş aralarının açılmalarına (diastema) ve dişeti çekilmelerine neden olabilecek kalın kas bağlantılarının (frenilum) kesilmesi (frenektomi, frenilektomi) operasyonları ki son yıllarda lazerle de yapılmaktadır. Yine bazı durumlarda hastalıklı yirmi yaş dişlerinin çekilmesi işlemleri de uygulamalar arasındadır.

Recall: Hastalığın aktif tedavisi bittikten sonra geçirilen hastalığın şiddetine göre 1-6 ayda bir hastalar mutlaka kontrollere çağrılmalıdırlar.  Bu kontrollerde hastalığın gidişatı takip edilir ve hasta tekrar tekrar motive edilir.

 

Tedavi Sonucunda Ne Elde Edilir?

 

Tedavi sonrasında dişler temiz, dişeti açık pembe renkli, sert kıvamlı ve kanamasızdır. Eğer hastalığa bağlı çok ileri kemik yıkımı oluşmuş ise operasyon sonrasında dişlerin boyları uzayabilir. Ancak dişleri destekleyen dokular sağlıklıdır. Bugün elimizdeki teknik imkanlar periodontal problemlerin hemen hepsini çözebilecek düzeydedir. Ancak diş çevresinde kalan kemik miktarı tedavi edilemeyecek seviyede ise, diş çekimi de tedavi planına dahil edilir.

 Periodontal cerrahinin başarısı pek çok faktöre bağlıdır. Periodontal cerrahinin başarısını azaltan hastaya ait bazı sebepler vardır. Bunlara örnek olarak diyabet, aşırı alkol tüketimi, sigara, bazı ruhsal bozukluklar, kan hastalıkları, bağışıklık sistemi bozuklukları, kortizon kullanımı ve radyasyon tedavisi verilebilir. Her hastada dişetinin ve kemiğin iyileşme kapasitesi farklıdır. Ayrıca operasyon sonrası yara bölgesine uygulanacak özenli ve titiz bakım, diş fırçalama ve arayüz temizliği tedavinin başarısı için kritik öneme sahiptir. 

 

UNUTMAYALIM!!!

 

Kendi diş ve dişeti sağlığınızı korumak, dişhekiminizin olduğu kadar sizin de sorumluluğunuzdur. Lütfen mucize beklemeyin. Hekiminiz tarafından uygulanan dişeti tedavisinden sonra, dişeti ve destek dokularınızın sağlığı ancak sizin ağız bakımına gösterdiğiniz ilgi ölçüsünde  başarılı olabilir.

 

Tedavi Süresi Nedir?

 

Hastalığın şiddet derecesine göre 3 hafta ile 6 ay arasında değişebilir. Tedaviden sonra düzenli olarak 3-6 ay arayla kontroller gereklidir.

 

 

ESTETİK DİŞ ETİ UYGULAMALARI:

 

Dişetleri sağlıklı bir gülümseme için kaçınılmaz bir unsurdur. Dişleriniz ne kadar sağlıklı olursa olsun, düzgün bir dişeti çevrelemesine sahip değilseniz, çevrenize o etkileyici gülümsemeyi vermeniz zordur.

 

• Sağlıksız diş etleri: Dişetlerinize estetik uygulamadan önce, dişetlerinizin sağlıklı olması önemlidir. Periodontal hastalık nedeni ile diş etlerinin kırmızı, şiş ve parlak olmaları durumunda öncelikle dişeti tedavisi süreci uygulanır.


• Sağlıklı Gülümseme: Gülümsediklerinde diş etleri fazla gözüken vakalarda herhangi bir estetik diş hekimliği işlemi yapılacak olsa da olmasa da yapılacak küçük bir operasyon ile diş eti fazlalıkları uzaklaştırılarak daha hoş bir gülümseme elde edilebilir.


• Dişeti çekilmesi: Dişeti çekilmesi sonucu bazı dişler çok uzun gözükebilmektedir. Bu dişlerde kök yüzeyleri açığa çıkmıştır. Bu gibi durumlarda, öncelikle dişeti tedavisi yapılarak bu açıklıklar yumuşak doku greftleri ile kapatılmalıdır.
 

• Düzensiz dişeti sınırları: Dişleri çerçeveleyen dişetleri bazı dişlerde, diş eti çekilmesi, sürme bozukluğu ve diş kaybı gibi nedenlerden dolayı çok yukarda ya da çok aşağıda olabilir. Estetik uygulamasından önce dişeti şekilleri ideale getirilmelidir.

 

 

          

 

 

http://www.youtube.com/watch?v=kXI4AFEeHA8&feature=player_embedded

 

 

http://www.youtube.com/watch?feature=player_embedded&v=PC0grDwjTO8

 

 

 

Tüm Hakkı Saklıdır © 2026 - Bu sitede kullanılan tüm içeriklerin telif hakları "Ayşe Naime (Kor) Altuntaş'a" aittir.

‘Bu web sitesinin içeriği, kullanıcıyı bilgilendirmeye yönelik hazırlanmıştır, hiçbir ticari amaç taşımaz. Bu sitede yer alan bilgiler, hiçbir zaman bir hekim tedavisinin ya da konsültasyonunun yerini alamaz. Bu web sitesinin içeriği, asla kişisel teşhis ya da tedavi yönteminin seçimi için değerlendirilmemelidir.’